
Liebe GAK-Mitglieder, liebe Kolleginnen, liebe Kollegen,
die Parodontitis als Volkskrankheit ist in unseren Praxen alltäglich. Die Möglichkeiten des Zahnerhaltes aufgrund der neuen Therapiemöglichkeiten eröffnen ganz neue Perspektiven, stellen uns als Behandler aber auch vor Herausforderungen.
Wir konnten mit Dr. Gerd Körner einen der führenden Parodontologen für diese Veranstaltung gewinnen. Die Frage, die auch gleichzeitig der Titel dieser Veranstaltung ist „was kann moderne Parodontaltherapie und was bleibt für die Implantologie?“, trifft den Nagel auf den Kopf. Dr. Gerd Körner wird uns sein Behandlungskonzept nahebringen und sich mit der Frage aus dem Titel seines Vortrages auseinandersetzen.
Neben einer Gastprofessur und verschiedenen Referententätigkeiten hat Dr. Gerd Körner 2018 ein Buch mit dem Titel „Erfolg mit Implantaten in der ästhetischen Zone – Parodontale, implantologische und restaurative Behandlungsstrategien“ herausgebracht.
Freuen Sie sich mit mir auf einen spannenden Vortrag!
Ihr Jörg-Christoph Lenz


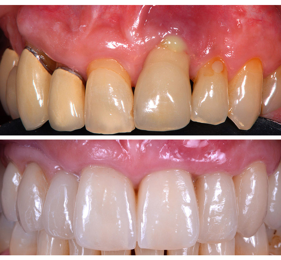
Vor den gehobenen Ansprüchen der Patienten an ästhetischen Versorgungen, stellt speziell der parodontal Erkrankte oder vorgeschädigte Patient eine besondere Herausforderung dar. Ein geeignetes Behandlungskonzept muss daher vielgestaltig, nachhaltig und daher durch eine möglichst sichere Entscheidungsfindung zu den verschiedenen Zeitpunkten der komplexen Gesamttherapie gekennzeichnet sein. Dabei nimmt die Langzeitprognose parodontal geschädigter Zähne eine zentrale Rolle ein. Auch modernste Verfahren der Regeneration und Rekonstruktion von Geweben müssen vor den genannten ästhetischen Ansprüchen durch möglichst minimal-invasive Verfahren der Perio-Prothetik ergänzt werden. Bei einer Nicht-Erhaltungswürdigkeit von natürlichen Zähne im parodontal geschädigten Umfeld können und müssen Implantate zum Einsatz kommen, allerdings in Kombination mit speziellen Methoden der Alveolären Rekonstruktion (partikulär, Block, Distraktionen, etc.). Auch die Vorteile der Sofortimplantation auch unterstützt durch „guided implantology“ und gleichzeitiger „Site preservation“ bzw. „Rekonstruktion“ können eine sinnvolle Ergänzung des Konzepts werden mit weiteren Möglichkeiten der modernen Perio-Prothetik.
Flyer_gak_266_web.pdf
DownloadBeginn: 14.00 Uhr
Kaffeepause: 15.45 – 16.00 Uhr
Abendessen: 18.00 Uhr
Fortführung der
Veranstaltung: 19.00 Uhr
Ende gegen: 21.00 Uhr
FOTOHINWEIS
Wir fotografieren während der Veranstaltung zum Zwecke der Veröffentlichung auf unserer Website (und in den sozialen Medien). Mit Ihrer Teilnahme an der Veranstaltung erklären Sie sich mit der Veröffentlichung von Fotos einverstanden, auf denen auch Sie abgebildet sind. Wenn Sie das nicht möchten, teilen Sie dies bitte vor Ort dem Fotografen mit.
Mit der Anmeldung werden die Seminarbedingungen des GAK Stuttgart akzeptiert.